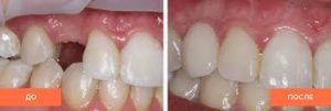
Что такое одномоментная имплантация зубов недостатки и достоинства
НЕМЕДЛЕННАЯ ИМПЛАНТАЦИЯ: ПЛЮСЫ И МИНУСЫ
Дентальная имплантология – лучшее, что медицина придумала для восстановления утраченных зубов. У метода всего один недостаток – продолжительность срока лечения.
При самых благоприятных условиях с момента удаления зуба до протезирования импланта проходит 4 месяца. Но обычно ждать приходится еще дольше. Все это время пациент испытывает физический и эмоциональный дискомфорт: неудобно пережевывать пищу и улыбка выглядит неэстетично.
С отложенной имплантацией связана еще одна сложность. С момента удаления зуба в районе лунки начинает убывать костная ткань. Остановить процесс невозможно. Особенно быстро изменения происходят в видимой зоне десны: с каждым днем объем ее уменьшается, структура тканей становится рыхлой, а оттенок сероватым. Чем дольше заживает лунка, тем хуже условия для имплантации. Врачу потом приходится восстанавливать их остеопластикой или пластикой мягких тканей. Предотвратить атрофию можно только одним способом – установить имплантат в лунку только что удаленного зуба.
У одномоментной имплантации есть и другие преимущества. Например, она
Но часто стоматологи отказываются этого метода, опасаясь осложнений, а также ошибочно считая, что у операции широкий ряд противопоказаний и ограничений.
На самом же деле, в половине случаев утраты зубов проведение одномоментной имплантации возможно без каких-либо рисков для пациента. В практике врачей нашей клиники процент таких операций растет с каждым годом.
Качество лечения в стоматологии на Народной гарантирует
«Если Вам можно устанавливать имплант, то мы поможем! Если же есть противопоказания, то не будем рисковать Вашим здоровьем и найдем альтернативный способ лечения!»
Запишитесь на БЕСПЛАТНУЮ консультацию к стоматологу
*Отправляя заявку, вы соглашаетесь с использованием персональных данных для обработки обращения
Сравнение одномоментной имплантации и отсроченной
При грамотном подходе обе методики одинаково успешны. У каждой имеются свои преимущества и недостатки. Выбор лечения зависит от клинической ситуации конкретного пациента. Но для большей наглядности давайте сравним
Характеристики
Немедленная имплантация
Отсроченная имплантация
Условия, необходимые для одномоментной имплантации
Чтобы операция прошла успешно, необходимо соблюдение таких условий:
Если все перечисленное имеет место быть, необязательно ждать, пока лунка полностью заживет. Установку импланта можно проводить в тот же день, что и удаление.
При одномоментной имплантации нет проблем с дефицитом костной ткани и можно установить имплант большего размера
Когда одномоментная имплантация нежелательна
Строгих ограничений для одновременного удаления зуба и установки импланта нет. Операция возможна при любых условиях кроме ситуаций, когда
Как видим, ограничений немного. Поэтому главный аргумент в пользу немедленной имплантации – целесообразность. Почти всегда такая операция оказывается выгодной для пациента как с точки зрения комфорта, так и экономии средств на лечение.
Но нельзя забывать, что любое хирургическое вмешательство – это риск. Если есть возможность его избежать и добиться результата менее инвазивными методами, ею стоит воспользоваться.
Чем профессиональнее выполнено удаление зуба, тем выше вероятность, что врач примет решение об одномоментной установке импланта
Подготовка к немедленной имплантации
Будет или не будет проведена одномоментная имплантация невозможно сказать заранее. Конечно, перед началом лечения врач обсуждает с пациентом такую возможность, но окончательное решение принимает после полного извлечения зуба из лунки. Чем менее травматично пройдет процесс, тем выше вероятность, что имплантация окажется успешной.
Но перед тем, как приступить, необходимо провести компьютерную томографию. Снимок позволит оценить параметры зубной лунки, состояние костной ткани вокруг нее, анатомические структуры в области операции. Без томографии это сделать невозможно.
Если в ходе удаления зуба утрачен большой объем костной ткани, установить имплант не получится.
В остальном предоперационная подготовка не отличается от той, что проводится при отсроченной имплантации. До операции необходимо получить заключение врача-ортопеда, в отдельных случаях – ортодонта и стоматолога-терапевта. Если у пациента имеется какое-либо хроническое заболевание (например, болезни сердца или сахарный диабет), нужно разрешение соответствующего специалиста. В отдельных случаях могут назначаться анализы в лаборатории и антибактериальная профилактика.
Подбор имплантов
С хирургической точки зрения основной плюс немедленной имплантации – отсутствие атрофических процессов в районе операции. А наличие лунки и корня удаленного зуба позволяют максимально точно подобрать длину и диаметр импланта.
Большинство известных стоматологических концернов выпускают специальные системы для установки в лунку сразу после удаления. Как правило, все они с крупной резьбой. Ее задача – прочно «врезаться» в костную ткань, надежно зафиксировав имплант в одном положении.
На практике же часто получается иначе. Широкая агрессивная резьба начинает давить на ткани вокруг импланта, нарушая природную микроциркуляцию и усложняя процесс заживления.
При одномоментной имплантации нет проблем с дефицитом костной ткани и можно установить имплант большего размера
По опыту специалистов нашей клиники системы с мелкими винтами для одномоментной имплантации предпочтительнее. Они меньше травмируют ткани, но плотнее прижимаются к стенкам лунки, снижая риск заражения тканей и ускоряя остеоинтеграцию.
Как добраться
Стоматология в Невском районе: ул. Народная д. 68/1, метро Ломоносовская, Улица Дыбенко
Телефоны: (812) 70-800-16, +7 (921) 40-800-16
Мы работаем ежедневно с 9:00 до 21:00 часа, без перерыва.
Стоматология метро Ломоносовская:
троллейбусы: 14, 27, 28,
автобус: 140,
маршрутки: 388, 401, 140, 239, 339, 56, 49,
ехать до остановки «Школа», от остановки 2 минуты пешком до стоматологии.
Стоматология метро Улица Дыбенко:
троллейбусы: 14,27,28 до остановки «Правобережные Бани»
автобус: 140 до остановки «Народная ул, 70»,
маршрутки: 388,401,140,239, 339, 56 до остановки «Народная ул, 70», от остановки до стоматологии 2 минуты пешком.
Одномоментная имплантация зубов: плюсы и минусы

Преимущества установки импланта сразу после удаления зуба
Если противопоказаний к применению одномоментной технологии нет, врач-стоматолог дает добро на применение этого способа восстановления зуба. Метод действительно продвинутый, эффективный и имеет целый ряд плюсов:
Минусы одномоментной имплантации
Несмотря на обилие плюсов, у этого метода есть и отрицательные моменты. В частности, применять его можно далеко не всегда – противопоказаний больше, чем при проведении отсроченной имплантации. Кроме того, одномоментно можно устанавливать имплант только вместо однокоренного зуба. К недостаткам относят и то, что в день операции пациенту часто приходится провести в клинике несколько часов.
Также при одномоментной установке импланта особые требования предъявляются к опыту и квалификации стоматолога-хирурга. В этом случае стабилизировать титановый винт сложнее, поскольку он помещается не в такое аккуратно высверленное ложе, как при классической и отсроченной имплантации. Для заполнения пустот между заменителем корня и стенками лунки приходится использовать остеопластический материал.
После проведения одномоментной имплантации пациенту необходимо особенно строго придерживаться всех рекомендаций, данных врачом-стоматологом. Уровень гигиены в полости рта в этом случае должен быть безупречным, чтобы не допустить инфицирования участка, на котором установлен имплант.
Одномоментная имплантация зубов плюсы и минусы
Возможности современной стоматологии не знают границ. Сегодня можно всего за один визит в клинику удалить больной зуб и установить на его место полностью идентичную замену. Большим спросом пользуется одномоментная имплантация. Она позволяет добиться превосходного результата в максимально короткие сроки. Недостатков у процедуры практически нет, но, к сожалению, как и любое хирургическое вмешательство, подходит она не каждому.
Описание процедуры
Дентальная имплантация – это специальная технология, позволяющая восстановить эстетические и функциональные свойства потерянного зуба. В заранее подготовленную лунку вкручивается титановый штифт, который будет служить опорой несъемному протезу. При одномоментной имплантации удаление зуба и установка импланта происходят за одно посещение врача в отличие от двухэтапного протокола.
Сразу после того, как начнет действовать анестетик, специалист производит экстракцию больной единицы. Основным преимуществом технологии является меньшая травматичность, ведь дополнительных разрезов на десне делать не нужно. Необходимо лишь сделать небольшое углубление в полости кости, оно должно быть достаточного размера для надежной фиксации выбранного штифта. Если в ходе операции обнаруживается недостаточный объем ткани, то ее наращивают с помощью специальных материалов.
При необходимости устанавливается формирователь десны, а затем накладываются швы. Верхушка импланта при этом остается на поверхности, на нее устанавливается абатмент и временная коронка. После полного приживления штифта спустя несколько месяцев врач может заменить коронку на постоянную. На протяжении этого времени пациенту требуется периодически посещать клинику для проведения профилактического осмотра.
Основные показания
Одномоментная или, как ее иначе называют, экспресс имплантация осуществляется по нескольким показаниям. Например, часто ее назначают при сильном разрушении единицы без возможности ее реставрации иными методами. Также зуб приходится удалять в обязательном порядке при его разрушении в толще десны и при диагностировании серьезных стоматологических патологий.
Экспресс процедура показана тем пациентам, которые столкнулись с потерей зуба в передней части улыбки. Но при этом следует понимать, что одномоментная операция не подходит при сильной деформации костных тканей или в случае начала процесса атрофии.
Также в проведении такого типа вмешательства профессионал может отказать из-за сильного воспаления в деснах или в корневой системе. Также после слишком сложного удаления зуба и образования на его месте очень большого отверстия подобные операции проводить не рекомендуется.
Когда одномоментная имплантация невозможна
Установка имплантов – это всегда сложное, хирургическое вмешательство, требующее тщательной предварительной подготовки и хорошего самочувствия пациента. Противопоказания принято разделять на две группы: абсолютные и относительные. В первом случае врач будет вынужден отказать клиенту в операции, а во втором предложит пройти лечение и устранить имеющиеся патологии ротовой полости.
К абсолютным противопоказаниям обычно относят: серьезные, хронические заболевания, проблемы с щитовидной железой, СПИД, остеопороз, онкологию, туберкулез, нарушение свертываемости крови, необратимый атрофический процесс в костных тканях, а также индивидуальная непереносимость определенных медикаментов, которые применяются во время лечения.
Относительными принято называть противопоказания, которые поддаются лечению. Например, если пациент не уделяет гигиене зубов должного внимания, у него развивается обширное поражение кариесом. Это состояние требует лечения. То же касается очагов воспалительных процессов в мягких тканях, стоматита, гингивита и прочих заболеваний, которые могут повлиять на результат лечения. Имплантацию нельзя проводить во время беременности, а также при наркотической и алкогольной зависимости.
Одномоментная имплантация зубов

Этот метод протезирования в ортопедической стоматологии стал востребованным несколько десятилетий назад. Кто хоть раз в жизни интересовался темой воссоздания потерянных зубов, тот, скорее всего, слышал о нем. Суть дентальной имплантации заключается в том, что в то место где ранее был зуб вживляется титановый имплант, а на него в дальнейшем устанавливается протез. Во многих клиниках, пациентам предлагают восстановить целостность зубного ряда за один день. Такое уникальное предложение действует и в медицинском центре «А-медик». Мы решили развеять все мифы относительно одномоментной имплантации и подробно описать, как наши специалисты проводят эту операцию.
Что такое имплантация.
Дентальная имплантация – это операция по вживлению импланта в челюстную кость на место отсутствующего зуба. Процедура проводится под анестезией, пациент совершенно не чувствует боли и дискомфорта. Отличительной особенностью имплантации от съемного протезирования является то, что такие конструкции не снимаются, они не могут выпасть из полости рта. Имплант изготавливается из высококачественного титана, это уникальный металл, который полностью биосовместим с организмом человека и не способен вызвать аллергии. Более чем в 99% случаев операция проходит успешно, без осложнений. Имплант имеет конусовидную форму, и выполняет функцию корня, он опора для протеза. Надежность и прочность ортопедической конструкции (имплант и протез) достигается благодаря срастанию титанового винта и костной ткани. После периода приживления на имплант фиксируется коронка, такой искусственный зуб ничем не отличается от живого и может выдерживать такую же нагрузку.
Несколько лет назад дентальная процедура считалась дорогостоящей, и позволить себе её мог не каждый человек. Сейчас многие компании выпускают доступные импланты высокого качества. Для тех пациентов, кто хочет в самые короткие сроки вернуть своей улыбке красоту, есть уникальная методика одноэтапной имплантации. Эта технология позволяет вживить имплант сразу же после удаления зуба и на него закрепить временный протез. Таким образом, вы избегаете длительного периода приживления импланта и всего лишь за один-два приема восстанавливаете целостность зубного ряда. В случае проведения классической (двухэтапной) имплантации, вам придется ждать примерно 3-5 месяцев, пока титановый корень срастется с костной тканью (остеоинтегрируется). Только после этого можно будет поставить протез.
Важным условием для проведения одномоментной имплантации является здоровая челюсть, т.е. у вас не должно быть никаких заболеваний полости рта. Имплант вживляется сразу же после удаления зуба. Многие пациенты прибегают к данному методу протезирования, когда зуб разрушился после несчастного случая или вследствие его сильного повреждения.
Показания.
Обычно люди задумываются о протезировании, когда у них уже отсутствует один или несколько зубов. Однако одномоментная имплантация может быть показана и в других случаях:
Противопоказания.
Многие клиники из-за своей выгоды намеренно умалчивают о наличии противопоказаний к имплантации. Такое отношение чревато отторжением импланта и в более худших случаях появлением опасных осложнений. В медицинском центре «А-медик» стоматолог сначала проводит тщательное обследование ротовой полости пациента, и только потом приступает к операции. По результатам опроса и диагностики, можно выявить противопоказания, при наличии которых проведение одноэтапной имплантации невозможно. Вот их список:
Преимущества одномоментной имплантации.
При знакомстве с новым человеком или просто во время общения, люди в первую очередь обращают внимание на внешний вид собеседника. Увидев неопрятность или какие-либо недостатки, на этом ваши встречи могут быть закончены. Поэтому для большинства людей очень важно восстановить отсутствующие зубы, в первую очередь они преследуют цель вернуть своей улыбке привлекательность. Преимущества одномоментной имплантации вполне очевидны, для пациента такая операция более предпочтительна, ведь ему не придется долго переживать насчет неполноценности своего зубного ряда.
Если у вас здоровые зубы, и нет воспаления десен, то установка импланта возможна в день удаления поврежденной единицы. Конечно, перед этой процедурой вам необходимо будет сдать анализы и проконсультироваться с врачом. В случае положительных результатов обследования, специалист установит вам временную коронку в тот же день. Процесс вживления титанового корня совершенно безопасен и безболезнен. Это малотравматичная операция, т.е. хирургические вмешательства сокращены до минимума. Уже через некоторое время вы даже не почувствуете, что у вас есть искусственный зуб. Он выглядит как натуральный, и так же выполняет все его функции.
Преимущества метода одномоментной имплантации:
Этапы проведения имплантации.
Процедура по восстановлению отсутствующего зуба растягивается на несколько приемов, на первой встрече со стоматологом вы пройдете обследование, на второй вам установят имплант и временный протез, и во время третьего визита зафиксируют постоянную коронку. Каждый этап разберем более подробно:
Подготовка.
Многие врачи уверяют, что восстановить зуб можно за один день. На самом деле в некоторых случаях вам может понадобиться посетить стоматолога два раза. Пациенту обязательно нужно пройти осмотр, сдать анализы, чтобы исключить наличие противопоказаний. С помощью ортопонтонограммы и компьютерной томографии врач оценивает качество и объем костной ткани. При необходимости ему может быть назначена санация полости рта и профессиональная гигиена, тогда вживление импланта придется отложить на следующий прием, когда зубы будут полностью здоровы.
Имплантация.
Все манипуляции выполняются под анестезией. Сразу же поле того как пациенту удалят зуб, на его место будет вкручен имплант вместе с зафиксированным абатментом. Установка титанового корня проводится трансгингивальным методом (малотравматичным), т.е. хирургу не нужно разрезать десну, он делает специальное отверстие, через которое винт буквально вкручивается в кость. При вживлении импланта, костная ткань вокруг него уплотняется, и он надежно стабилизируется. Затем на него крепится временный протез. Коронка позволяет устранить косметический дефект и пациенту не беспокоится насчет своего недостатка, к тому же она способствует правильному формированию десневого края.
Окончательное протезирование.
Срок использования временного протеза составляет примерно 3-5 месяцев, его замена на постоянный проводится только после полного приживления импланта. За этот период титановый корень остеоинтегрируется с костной тканью и становится способным выдержать даже самые сильные нагрузки. Если же пациенту необходимо скорректировать альвеолярный гребень, чтобы все выглядело естественно, то перед протезированием следует прибегнуть к пластике десны. Врач снимает слепки с челюсти и отправляет их в лабораторию для изготовления постоянного протеза. После его готовности, он фиксирует коронку.

Сравнение одноэтапной и двухэтапной имплантаций.
На сегодняшний день восстановление зубов методом имплантации может проводиться двумя основными способами. Какой метод подходит именно вам зависит от ряда факторов: от состояния вашей ротовой полости, как давно отсутствует зуб (или может его только предстоит удалить), от медицинских показателей, ваших финансовых возможностей и др. В клинике «А-медик» специалисты успешно практикуют двухэтапную и одномоментную дентальную имплантацию. Очень часто пациенты интересуются у нас, в чем разница между этими двумя технологиями, помимо сроков установки временной коронки. В данной таблице отражены отличительные особенности каждой методики имплантации, надеемся, эта информация поможет вам узнать что-то новое.
Количество хирургических вмешательств.
Одно. Малотравматичный метод, имплант вкручивается без разрезания десны.
Два. Сначала врач устанавливает титановый корень, и после его остеоинтеграции он заново рассекает десну и фиксирует абатмент.
Возможность восстановления всего зубного ряда.
Длительность восстановления зуба.
Сразу же после вживления импланта.
Только после полного приживления импланта.
Необходимость наращивания костной ткани.
В большинстве случаев не требуется.
Проводится в 90% случаев, перед установкой импланта.
Позволяет зафиксировать временную коронку в день установки импланта. Прекрасный эстетический эффект, пациент быстро привыкает к новому зубу.
Надежность, предсказуемый результат. Импланты полностью срастаются с костной тканью, риск отторжения конструкции сведен к нулю.
Длительность восстановления зуба. Частота посещений врача.
Рекомендации по уходу за имплантами.
Для многих пациентов остро стоит вопрос касательно срока годности искусственных зубов, закрепленных на имплантах. Так как, тратя порой не маленькие суммы на лечение, они хотят быть уверенными в долговечности таких ортопедических конструкций. Как долго вы сможете использовать импланты, зависит не только от врача и качества системы, но и от вас самих.
Уход за искусственными зубами должен быть таким же тщательным, как и за живыми, на коронках точно также скапливается налет, который необходимо чистить. На протезе, закрепленном на импланте, не развивается кариес, но при возникновении воспаления десен прочность конструкции может нарушиться. Особенное внимание следует уделять имплантам в первый месяц после их установки, т.к. в этот период система начинает срастаться с костной тканью. Чтобы не возникло осложнений, необходимо придерживаться следующих рекомендаций:
В дальнейшем придерживайтесь общих правил по уходу за зубами, и не забывайте посещать стоматолога дважды в год. Если вы заметили ухудшение состояния после операции, у вас появилась отечность, болезненное ощущение, кровоточивость, то необходимо срочно обратиться к врачу. Данные симптомы могут свидетельствовать о возникновении осложнений и как следствие отторжение импланта.
Цена одномоментной имплантации.
Подходить к выбору клиники, где будет проводиться имплантация нужно очень тщательно, т.к. от опыта хирурга и качества используемых материалов, зависит, как пройдет операция и дальнейшее состояние искусственного зуба. Специалисты клиники «А-медик» работают одной командой, при необходимости вы можете проконсультироваться у разных врачей, пройти обследование. Совместно мы решаем различные проблемы, поэтапно планируем лечение и можем со 100% уверенностью предсказать его результаты. Во многом стоимость одномоментной имплантации зависит от марки импланта, страны его производителя и количества восстанавливаемых зубов. Также не забывайте о том, что вам придется сдать анализы и удалить зуб, а эти дополнительные процедуры оплачиваются отдельно. Что записаться на прием вам достаточно позвонить нам: +7 (499) 350-44-47 или оставить заявку на нашем сайте, и мы перезвоним вам чтобы уточнить дату и время.











